Сагс
Сагс хоосон байна

Ширхэг:
0

Нийт:
0

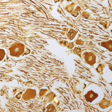
Нуруу нугасны зангилааны мэдрэлийн эсүүд

Нуруу нугасны зангилааны мэдрэлийн эсүүд

200 дахин томруулсан

Биологи

1024x683 / 626 kB

Түлхүүр үгс

mozaLink

/

Веб холбоос