Сагс
Сагс хоосон байна

Ширхэг:
0

Нийт:
0

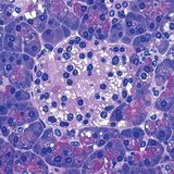
Нойр булчирхайн инсулин үүсгэдэг бүлэг эсүүд

Нойр булчирхайн инсулин үүсгэдэг бүлэг эсүүд

Нойр булчирхайн инсулин үүсгэдэг бүлэг эсүүд

Биологи

2-р анги

86 kB

mozaLink

/

Веб холбоос