Сагс
Сагс хоосон байна

Ширхэг:
0

Нийт:
0

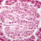
Нойр булчирхай (фазын тодосгогчтой зураг) - Лангерханс аралханы эсүүд бүдэгхэн харагдаж байна

Нойр булчирхай (фазын тодосгогчтой зураг) - Лангерханс аралханы эсүүд бүдэгхэн харагдаж байна

Нойр булчирхай (фазын тодосгогчтой зураг) - Лангерханс аралханы эсүүд бүдэгхэн харагдаж байна

400 дахин томруулсан

Биологи

9-р анги

1024x683 / 374 kB

Түлхүүр үгс

mozaLink

/

Веб холбоос