Сагс
Сагс хоосон байна

Ширхэг:
0

Нийт:
0

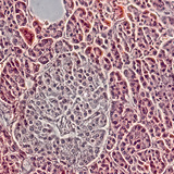
Нойр булчирхай (фазын тодосгогчтой зураг) - Лангерханс аралханы эсүүд бүдэгхэн харагдаж байна

Нойр булчирхай (фазын тодосгогчтой зураг) - Лангерханс аралханы эсүүд бүдэгхэн харагдаж байна

Нойр булчирхай (фазын тодосгогчтой зураг) - Лангерханс аралханы эсүүд бүдэгхэн харагдаж байна

200 дахин томруулсан

Биологи

1024x683 / 648 kB

Түлхүүр үгс

mozaLink

/

Веб холбоос